Cosmetic Dentistry
Teeth Whitening
Often the consumption of food and in particular drinks such as tea, coffee, red wine can result in our teeth becoming discoloured. Smoking can also cause discolouration and yellowing of teeth.
You can have the Smile you have always wanted with our in-house and take home options for Teeth Whitening.
At Wickford Dental Practice & Orthodontic Centre we want only the best for our patients that's why we use Enlighten Whitening System, guaranteed long lasting whitening results and low sensitivity.
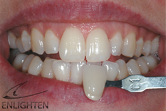
- CASE 1 BEFORE:

- CASE 1 AFTER:

- CASE 2 BEFORE:

- CASE 2 AFTER:

- CASE 3 BEFORE:

- CASE 3 AFTER:

Frequently Asked Questions
How long does it last?
Degree of lightness will vary from patient to patient. Some patients may need to repeat the procedure periodically to top up the effect.
What are the benefits?
- Teeth whitening improves the appearance of your teeth without removing any of the natural tooth surface.
- It is a better option than a crown or veneer if you want to lighten the colour of healthy teeth
When whitening might not work?
Whitening cannot change the colour of natural teeth it can only lighten the existing shade. Whitening only works on natural teeth. It will not affect the colour of existing porcelain crown, veneers, bridges or denture teeth. It will not change the colour or shade of existing tooth coloured fillings: these may need to be replaced to ensure good shade matching.
Is there anything else I should know?
Some patients may experience sensitivity from hot and cold drinks after treatment. If you are considering Teeth Whitening, please ask your dentist for further information about risks, benefits and suitability.
We offer two separate treatment options for Teeth Whitening. Tooth Whitening offers
Click Here for BDA patient information leaflet.
